Ecografie Musculo-Scheletală & Articulară
precizie pentru sportivi și persoane active

Pentru sportivi și persoanele active, fiecare detaliu contează: un ligament iritat, un tendon suprasolicitat sau o articulație inflamată pot face diferența dintre progres și stagnare.
De aceea, în cadrul Energy Time Medical Center, ecografia musculo-scheletală joacă un rol esențial în diagnostic, monitorizare și ghidaj terapeutic precis.

-
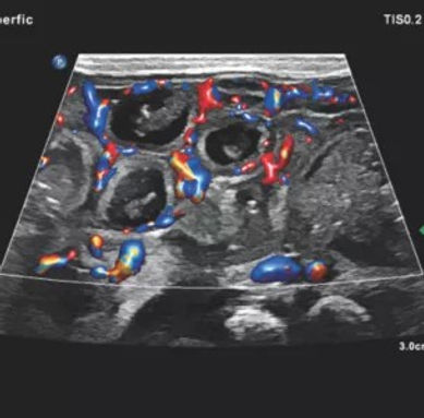
Diagnostic rapid și fără radiații: ideală pentru evaluarea mușchilor, tendoanelor, ligamentelor, articulațiilor — în timp real, în dinamică
-
Monitorizare continuă a vindecării: permite urmărirea evoluției inflamațiilor, edemelor, micro-rupturilor sau leziunilor cronice
-
Precizia tratamentelor prin ghidaj ecografic: infiltrații, terapii regenerative autologe, PRP, exozomi sau acid hialuronic – toate pot fi administrate cu acuratețe milimetrică, pentru eficiență maximă și risc minim
-
Prevenția recidivelor și optimizarea performanței prin identificarea zonelor suprasolicitate înainte ca acestea să devină o accidentare reală.
Ecografia musculo-scheletală este indicată
• sportivilor profesioniști aflați în sezon competițional
• sportivilor amatori (alergători, cicliști, înotători, practicanți de crossfit, schi etc.)
• persoanelor active care își doresc mișcare fără durere
• pacienților în recuperare după intervenții sau accidentări
Ecografia MSK
precizia imaginii îți protejează performanța
Nu este doar o investigație.
Este un instrument strategic pentru mișcare sănătoasă, antrenament eficient și longevitate sportivă.
